プレオルソ ユーティリティ

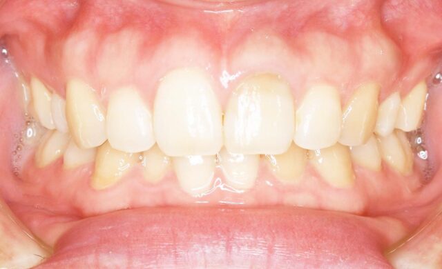
治療前

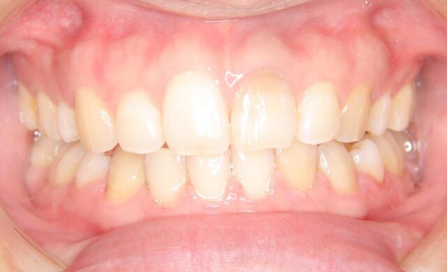
治療後
写真は 矯正治療10年後に来院された患者さんです バイトが深くなり
叢生が出ています 抜歯症例ではこのような経過をたどることが多く
非抜歯の場合は あまりバイトが深くなることは少ないと思います。
今日は 矯正専門医向けです
本格矯正(アライナー含む)の一番ネックになるところは バイトオープンだと思います レベルしながら バイトオープンできると あっという間に ある程度並びます
これを 形にしたのが プレオルソ ユーティリティです
夜だけの 装着になります 技工物です
バイトが深くて 停滞している患者さんで あふれている 医院は 是非一度 セミナーを見てください
一気に患者さんの除去が進み 診療の流れがスムーズです まずは理論を学んでください
歯ぎしり 顎関節症 いびき にも効果絶大です
セミナー案内 https://www.forest-one.co.jp/preortho-utility/
#機能的マウスピース型矯正装置
#MFT
#あいうべ体操
#プレオルソ
#上顎前突
#反対咬合
#叢生
#小児矯正
#赤ちゃん ハイハイ
#赤ちゃん
#小児歯科
#矯正歯科